Invisalign

Practically Invisible Orthodontic Aligners for Transforming Your Smile

In today’s world, flexibility and aesthetics in dental care are more important than ever, especially when it comes to orthodontic treatment. Perfect A Smile Dental Group is proud to offer Invisalign, a cutting-edge alternative to traditional metal braces that aligns with our patients’ desires for a discreet, efficient, and comfortable orthodontic solution.

The Invisalign Advantage

Invisalign uses a series of clear, plastic aligners to straighten teeth without the need for metal wires or brackets. This innovative treatment offers numerous benefits:

  • Aesthetically Pleasing: Invisalign clear aligners are virtually invisible, allowing you to improve your smile without drawing attention to your treatment.
  • Faster Treatment Time: Many patients complete their Invisalign treatment in as little as 12 months.
  • Comfort: Without metal parts, Invisalign aligners are comfortable to wear and less likely to irritate your mouth.
  • Convenience: Invisalign aligners are removable for easy cleaning and eating, fitting seamlessly into your lifestyle.

Why Choose Invisalign?

There are many reasons why Invisalign may be the right choice for your orthodontic treatment, including:

  • Discretion: Invisalign is ideal for adults and teens who prefer a less noticeable orthodontic option.
  • Efficiency: Achieve a straighter smile often in a shorter timeframe than traditional braces.
  • Comfort and Safety: The smooth, plastic aligners reduce the risk of irritation to your gums and cheeks.

Our Process

Personalized Consultation

Your Invisalign journey begins with a personalized consultation at Perfect A Smile Dental Group. Our expert team will evaluate your specific needs, discuss your goals, and develop a customized treatment plan.

Custom Aligners with iTero Technology

The advanced technology at Perfect A Smile Dental Group ensures that you’ll receive the highest quality, fastest Invisalign treatment possible.

  • Precision Fit: We use the latest iTero technology to create aligners that fit your teeth perfectly.

Personalized Consultation

Your Invisalign journey begins with a personalized consultation at Perfect A Smile Dental Group. Our expert team will evaluate your specific needs, discuss your goals, and develop a customized treatment plan.

What to Expect
from Your Invisalign Treatment

Every case is different and your dentist will advise you on specific care instructions during your Invisalign treatment. However, you can generally expect the following when receiving orthodontic treatment with Invisalign at Perfect A Smile:

  • Wear Time: For optimal results, wear your aligners for 22 hours a day, removing them only to eat, drink, brush, and floss.
  • Progress: Switch to a new set of aligners every one to two weeks, gradually shifting your teeth into the desired position. Some cases may require as few as ten trays and be completed in a span of a few months, while other more serious cases involving overcrowding and other issues may require closer to 30 trays over more than a year.
  • Follow-Up Care: Regular check-ins with our team ensure your treatment is progressing as planned.

Special Offers

Interested in Invisalign? Join our in-house Dental Savings Plan to receive a discount on your Invisalign treatment, along with other exclusive benefits. It’s an excellent opportunity to achieve the smile you’ve always wanted while enjoying significant savings.

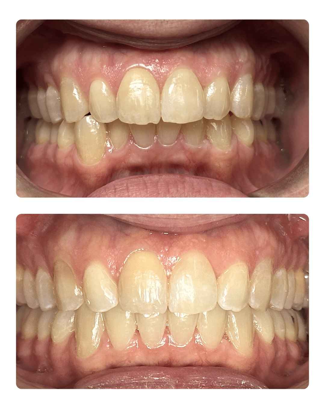
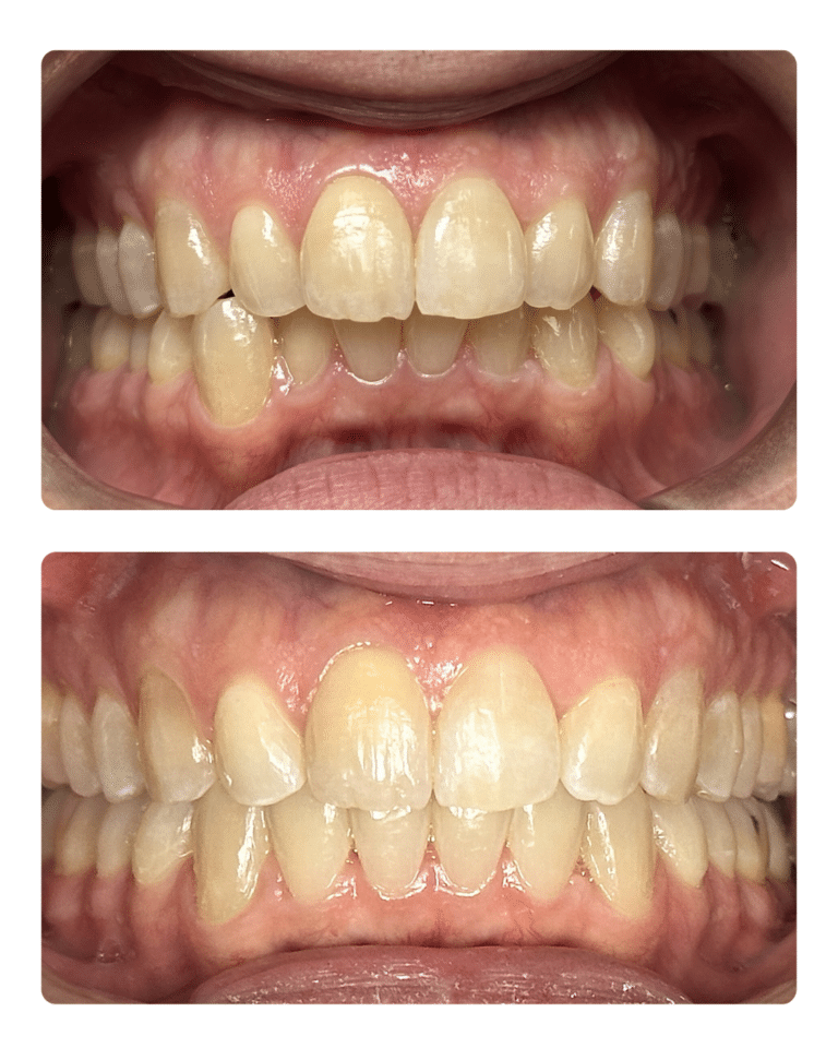
Invisalign at Perfect A Smile represents the pinnacle of orthodontic treatment flexibility, aesthetic appeal, and patient comfort. Whether you’re attending a special event, advancing in your career, or simply enhancing your daily life, Invisalign offers a modern solution to straightening your teeth discreetly and efficiently.

Contact us today to schedule your consultation and take the first step toward the smile you’ve been dreaming of!

FAQs About Invisalign

Treatment length varies, but most patients complete Invisalign within 12 to 18 months. Our dentists will provide a personalized timeline based on your case.
You may feel mild pressure when switching to a new set of aligners, but it’s generally much more comfortable than traditional braces.
No—aligners should be removed when eating or drinking anything besides water to prevent damage or staining.
You should wear Invisalign aligners 20 to 22 hours per day, removing them only for meals and oral care.
Yes, a retainer is usually recommended to maintain your results. Our dentists will guide you on the best option to keep your smile aligned.